Fotografije od odprtega viri
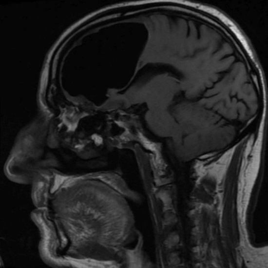
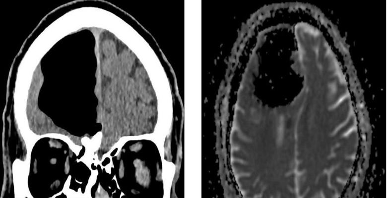
Zdravniki iz Severne Irske so bili ob pregledu presenečeni pred kratkim 84-letni bolnik, ki je k njim prišel z slabo počutjem. Po opravljenem slikanju z magnetno resonanco glave moškega zdravniki nepričakovano odkril, da mu manjka del desnega čelnega dela režnja možganov. Namesto tega je bila v lobanji upokojenca zrak žep. Potem so zdravniki ugotovili, da je dejanski fragment možganov pacient ni nikjer izginil, ampak se je mešal v smeri tega nenormalnega votlina.
Fotografija iz odprtih virov
Osebje bolnišnice je predlagalo, da bolnik vodi težko operacijo odstranitve zračnega žepa, vendar je moški to zavrnil od operacije. Po njegovem mnenju upokojenec za svojega starost, ponavadi se počuti zelo dobro in ne namerava svoje življenje ogrožati tako, da leži pod skalpelom. Do na srečo je kmalu dobro počutje Irca izginilo in v sedanjosti trenutek, ko ne občuti nobenega nelagodja, povezanega z njihovo nenormalno zdravstveno stanje.
Treba je opozoriti, da so nepravilnosti z možgani in celo odsotnost takšne najdemo na svetu, pa vendar ljudje s takšnimi odkloni živite normalno življenje, ne da bi pri tem občutili udobje. Tudi oni lahko razmišljamo normalno brez možganov (preberite na naši spletni strani obsežen članek na to temo), zakaj lahko sklepamo: veliko, s čim je človek obdarjen s svojimi edinstvenimi sposobnostmi, spominom, končno je zunaj fizičnega telesa, kar dokazuje na primer vzhodna modrost in ezoterično znanje. Zato je primer z Irci le dodatno potrditev tega, čeprav presenetljivo je zdravnik materialist daleč od nesreče …
Življenje
