Fotografija iz odprtih virov
Deklica iz kitajske pokrajine Shandong je živela do 24 let, ne vedoč, da ji že od rojstva manjka pomemben del možganov, in je možgan.
Takšno odkritje je bilo narejeno šele ob obisku zdravniki, ki se pritožujejo zaradi slabosti in omotičnosti. Povedala je zdravniki, ki imajo težave z življenjem hoja. Njena mati je poročala, da bi hčerka lahko šla šele pri sedmih let, pogovori pa so se začeli pri šestih letih.
Običajna možganska tomografija, možgan v rdeči barvi
Fotografija iz odprtih virov
Po tomografiji so zdravniki takoj ugotovili izvor težave – njen možganov ni bil. Prostor, kjer bi moral biti prazen. Tole možgansko območje je bilo napolnjeno s cerebrospinalno tekočino, zagotavlja zaščita pred boleznijo. Vretenca ima približno 10 odstotkov skupni volumen možganov, vendar vsebuje 50 odstotkov nevronov.
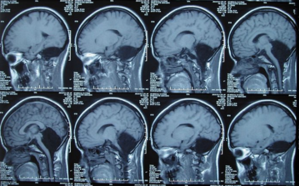
Slike možganov Kitajke brez možganov
Fotografija iz odprtih virov
Ženska se pridruži “elitnemu” klubu devetih ljudi, ki so živeli brez te avtoritete. Vendar podrobni opisi tega ni bolezni, saj so v mladosti umrli vsi ljudje težavo pa so odkrili šele ob obdukciji.
Težave s cerebelarno lahko privedejo do hudih duševnih zaostalost, motnje gibanja, epilepsija ali potencialno smrtonosno kopičenje tekočine v možganih. Vendar pa na pri tej ženski je pomanjkanje možganca privedlo le do blage pomanjkljivosti gibalne in zmerne težave z govorom, kot so rahlo zdrobljene izgovorjava.
Zdravniki te učinke opisujejo kot “manj kot morda pričakujte, “in pravijo, da njen primer poudarja neverjetno plastičnost možganov.
Življenje
