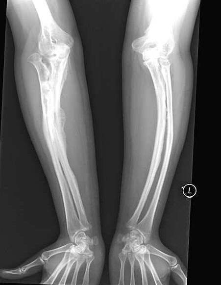
Ženi s povečano krhkostjo kosti je uspelo srečno iti ven poročiti se. Anastasia Marukova, ki so ji postavili diagnozo kot otrok “nepopolna osteogeneza”, preživela veliko težav. Ona je zlomil kosti 40-krat. Oče ni mogel vzdržati življenja s hudo bolnim hčerko in jih zgodaj zapustila pri materi. Toda takrat je Anastasia imela srečo mož – ljubljena oseba jo pospremi povsod, ker neprevidno gibanje ji obljublja novo prelomnico.
Fotografije iz odprtih virov
0
Like this post? Please share to your friends:
Related articles
Fotografija iz odprtih virov Otroci, ki govorijo o tragični smrti v preteklosti življenja pogosto
Fotografija iz odprtih virov Kako dolgo lahko človek živi? Medijska poročila 100-letnikov nihče se
Fotografija s odprtih virov Zgodovina pozna veliko ljudi-pojavov, a tudi med njimi edinstveno darilo
Fotografija iz odprtih virov Parapsihologi in znanstveniki imajo diametralno nasprotne točke pogled na življenje
Fotografija iz odprtih virov Mao Zedong, prvi vodja Ljudske republike Kitajske, Predsednik Mao, “je
Fotografija iz odprtih virov Da je oseba ni zaužila kot hrano – vedno je
