Med številnimi resnimi simptomi COVID-19 veljajo za najbolj neraziskane nenavadni nevrološki učinki, ki jih doživljajo mnogi bolniki.
Nenadna izguba vonja in okusa je bila eden prvih nenavadnih simptomov, o katerih so poročali bolniki s COVID-19, vendar so dokumentirani primeri možganske kapi, epileptičnih napadov in možganskega edema (imenovanega encefalitis).
Po poročilih in raziskavah nekateri bolniki z diagnozo COVID-19 doživljajo tudi zmedenost, delirij, omotico in težave s koncentracijo.
Zdravniki že nekaj mesecev neumorno poskušajo razumeti to bolezen in njene številne manifestacije, ki vplivajo na možgane.
Za povzetek nekaterih hitro kopičenih podatkov sta dva nevrologa pregledala študije, ki so preučevale, kako COVID-19 moti vzorce normalne možganske funkcije, ki jih je mogoče izmeriti z EEG.
EEG, okrajšava za elektroencefalogram, beleži električno aktivnost v različnih delih možganov osebe, običajno z uporabo elektrod, nameščenih na lasišču.
V svojem pregledu so raziskovalci zbrali podatke skoraj 620 bolnikov, okuženih s COVID, iz 84 študij, objavljenih v strokovno pregledanih revijah in na strežnikih pred tiskom, kjer so bili podatki o valovalni obliki EEG na voljo za analizo.
Analiza rezultatov EEG lahko kaže na neko obliko encefalopatije, povezane s COVID, pri teh bolnikih – znake poslabšanja ali okvare možganske funkcije.
Približno dve tretjini bolnikov v študijah so bili moški, mediana starosti pa je bila 61 let.
Med 420 bolniki, pri katerih je bila zabeležena osnova za EEG, je bil najpogostejši vzrok sprememba duševnega stanja: približno dve tretjini pregledanih bolnikov je doživelo delirij, komo ali zmedenost.
Pri približno 30% bolnikov se je pojavil napad, podoben napadom, zaradi katerega je zdravnik naročil EEG, medtem ko je nekaj bolnikov imelo težave z govorom. Drugi so imeli nenadni srčni zastoj, ki bi lahko motil pretok krvi v možgane.
EEG pregledi bolnikov so pokazali vrsto nepravilnosti v možganski aktivnosti, vključno z nekaterimi ritmičnimi vzorci in epileptičnimi izbruhi aktivnosti. Najpogostejša opažena nenormalnost je bilo razpršeno upočasnitev, to je splošno upočasnitev možganskih valov, kar kaže na splošno disfunkcijo možganske aktivnosti.
V primeru COVID je ta motnja lahko posledica razširjenega vnetja, saj telo okrepi svoj imunski odziv ali morda zmanjša pretok krvi v možgane, če sta srce in pljuča šibka.
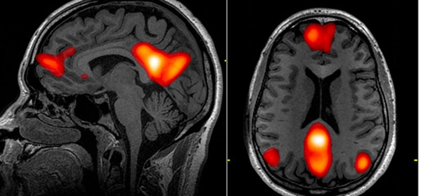
Glede na lokalizirane učinke so tretjino vseh ugotovljenih nepravilnosti našli v čelnem režnju, delu možganov, ki izvaja izvršilne miselne naloge, kot sta sklepanje in odločanje. Tudi čelni reženj nam pomaga uravnavati svoja čustva, nadzorovati vedenje in je vključen v učenje in pozornost.
“Ti podatki nam govorijo, da moramo preizkusiti EEG pri širšem krogu bolnikov, pa tudi druge vrste slikanja možganov, kot sta MRI ali CT, ki nam bodo omogočili, da si bomo podrobneje ogledali čelni reženj,” je povedal nevrolog in soavtor študije Zulfi Hanif. z medicinske fakultete Baylor v Houstonu.
Sčasoma lahko EEG pomaga potrditi diagnozo COVID-19 ali namigniti na možne zaplete. To bi lahko pomagalo zdravnikom slediti dolgoročnim zapletom COVID-19 in odkriti morebitne dolgoročne učinke na bolnikovo delovanje možganov.
Rezultati na žalost trenutno ne kažejo, kako redke ali pogoste so te motnje možganskih valov v širši populaciji, saj so bili v analizo vključeni le bolniki s COVID-19, ki so imeli EEG test.
Dodaja pa vse več dokazov, da bi lahko novi koronavirus resno vplival na naše nevrološko zdravje.
“Potrebnih je več raziskav, vendar ti rezultati kažejo, da se moramo tem področjem osredotočiti, ko gremo naprej,” je dejal Hanif.
“Zdi se, da so nepravilnosti EEG, ki vplivajo na čelni del, pogoste pri encefalopatiji COVID-19 in so bile predlagane kot potencialni biomarker s stalno registracijo,” pišejo avtorji v svojem prispevku.
Študija je bila objavljena v Seizure: European Journal of Epilepsy.
