Fotografija iz odprtih virov
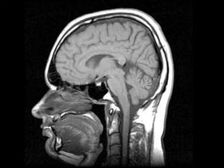
Novosibirski znanstveniki so razvili zdravilo, ki izdeluje človeški možgani za proizvodnjo matičnih celic, potrebnih za okrevanje obolelih organov. “Zdravilo se nanaša na regenerativno in nima analogov na svetu. Začenjamo letos klinična preskušanja, predklinična preskušanja, ki smo jih zaključili, “- je dejal predsednik uprave in solastnik podjetja, ki je razvil zdravilo, Andrei Artamonov. Po njegovem oz. zaradi drog možgani odraslih proizvajajo nove matičnih celic, ki kasneje najdejo poškodovan organ in obnoviti. “Pri otrocih možgani aktivno proizvajajo steblo celice, ker otrok raste. In možgani odrasle osebe sposoben jih je proizvesti, le tega noče storiti – njemu ni potrebe. Naše zdravilo spodbuja proizvodnjo lastnega stebla celic, “je pojasnil Artamonov. Po njegovih besedah so vse operacije s matične celice se zdaj proizvajajo zunaj človeškega telesa, ki nosi določeno tveganje, povezano z dejstvom, da lahko se prične spremenjena, umetno razmnožena celica komunicirajo na nepričakovanem mestu. Celice se lahko vnesejo, vendar to vedno tveganje, ker ni zelo jasno, kje so razlikovati. Čeprav so vaši, se razmnožujejo zunaj vašega organizem. Lastne matične celice tam ne morejo odpovedati razlikovati. Najdejo poškodovan organ in to začnejo obnoviti telo, “je dodal Artamonov. Klinična preskušanja droga bo trajala leto in pol, poroča Interfax.
