Fotografija iz odprtih virov
Fabella je drobna kost v kolenu, ki pred stoletjem so ga med evolucijo šteli za ogroženega rudimentarno telo. Vendar je v zadnjem času postala vedno več srečevati med prebivalci našega planeta.
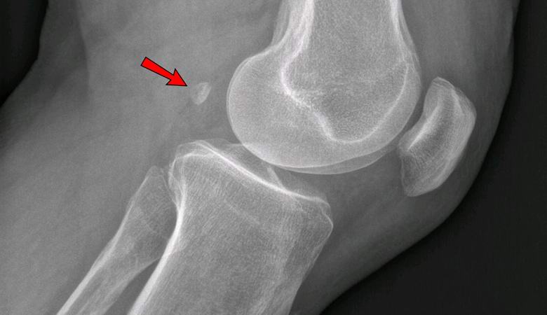
Če je leta 1918 le 11% Zemljanov imelo fabelo v vsaj enem noga, danes je prisotna pri 39% ljudi. Ta je v obliki sezama kost raste v debelini tetiv za kolenom in anatomsko spominja na mikroskopsko patelo.
Zdravniki še vedno ne morejo določiti, zakaj je to rudiment se vrača v človeško telo in zakaj je to potrebno. Najprej zdravniki so menili, da je Fabella le neškodljiv, nepotreben organ, vendar so strokovnjaki zdaj ugotovili, da je njena prisotnost v kolenu lahko povzroči osteoartritis. Bilo je celo zdravnikov ki je priporočal vsem, ki imajo fabelo, da jo odstranijo kirurško, da ne bi v starosti trpeli zaradi deformacije osteoartritis.
Predpostavlja se, da je fabella šla osebi iz opice, pri katerih je povečala mehansko učinkovitost kolenskih sklepov. Človek se, pravi, razvil in začel izgubljati dane kosti. Kljub temu v zadnjih desetletjih še več ljudje so začeli trpeti zaradi prekomerne teže zaradi maščobne prehrane in napačen življenjski slog. Pritisk na kolenske sklepe povečala, in ravno to domnevno vodi v nastanek “izgubljenih” sezamoidna kost.
Fotografija iz odprtih virov
Danes vsak učbenik biologije kaže, da je človeški okostnjak sestavlja 206 kosti. Vendar pa bodo v prihodnosti morda takšni podatki prepoznani kot zastareli, in tam bodo govorili o 206-208 kosti, saj veliko ljudi že ima eno ali obe basni. Tole kost, mnogi zdravniki menijo, lahko imenujemo priloga okostje, “ker ni samo neuporaben, ampak lahko tudi služi povzročajo zdravstvene težave. V stiku s kolenskim hrustancem oz. vodi v hud osteoartritis.
Vendar danes znanstveniki vse bolj ugotavljajo, da v človeško telo ni nič odveč in isti dodatek oz Tonzil se v nobenem primeru ne sme odstraniti, če ni nujno potrebno. Mogoče bo minilo nekaj časa in resničnega namena fabella, kot priloga, bomo razumeli, pa tudi razloge za to “dodatna kost” v kolenu se človeku med tem vrača njen nadaljnji razvoj …
Časovna evolucija
