Fotografija iz odprtih virov
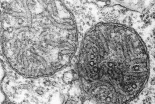
Proučevanje procesa staranja živih organizmov in metod njegovo upravljanje je ena glavnih smeri moderne medicinske raziskave. Konec koncev, prav na tem področju so odgovori do pomembnih vprašanj, kot sta zmanjšanje obolevnosti in povečanje človeška življenjska doba. Zdi se, da znanstveniki še vedno uspelo narediti korak bližje k temu neverjetnemu reševanju težka naloga. Skupni projekt Univerze v Južnem Walesu (UNSW) v Sydneyju in na Harvard Medical School so to že dokazali V telesu laboratorijskih miši je možen obratni proces staranja. Znanstveniki upajo, da bodo klinična preskušanja njihove metodologije začela ljudje že v letu 2014. Zdi se, da prihodnosti medicine ni več za gore. Znanstvenikom je uspelo obrniti proces staranja miši z obnovo povezav med mitohondriji in celičnimi jedro. Mitohondrija je nekakšna baterijska celica, ki je vir kemijske energije, ki je potrebna za ključ biološke funkcije. Kdaj je povezava med mitohondriji in jedrom celice se pokvarijo, proces staranja se pospeši. Raziskave ekipa pod vodstvom Davida Sinclairja, profesorja UNSW, ugotovili, da je postopek obnavljanja te pomembne medcelične povezave staranje se lahko ne samo upočasni, ampak tudi obrne. Tole tehnika bo omogočila zdravljenje raka, diabetesa drugega tip, atrofija mišic, vnetna, pa tudi mitohondrijska bolezni, ki vključujejo sindrom kronične utrujenosti, odpoved jeter, številni sindromi zaradi mutacijo genov in tako naprej. Ta znanstveni preboj je bil predhoden prejšnja študija te ekipe, med katero ugotovil, da redno vadbo in gotovo diete, na primer, uživanje hrane, ki vsebuje snov resveratrol (najdemo ga v rdečem vinu in oreščkih), dovolite upočasniti razpad medceličnih vezi in posledično zmanjšati hitrost staranja telesa.
Fotografija iz odprtih virov Obnovite medcelično komunikacijo trdi koencim pomaga nikotinamid adenin dinukleotid (NAD), prisoten v vsem živem celice. Povečanje koncentracije tega koencima v celici z uvedbo posebnih NAD, ki proizvajajo povezave, lahko dosežete pomemben pospešek obnavljanja vitalne povezave med jedrom in mitohondriji. “Za nas je bilo pravi šok, ko smo videli, kako hitro je vse skupaj se zgodi, – zdravnik in soavtor projekta deli z novinarji Nigel Turner – Če zvišate raven NAD pri odrasli osebi miši, potem bodo čez teden njene mišice popolnoma neločljive mišice mlajših in močnejših sorodnikov. “Kot rezultat, znanstveniki so se v enem tednu naučili številnih poskusov pomladiti laboratorijske miši, stare dve leti do leta v šest mesecev. Z drugimi besedami, zahvaljujoč temu odkritju kakršno koli 60-letna oseba se lahko pomladi v stanje 20-letnika. Postopek seveda še ni idealen in še ni v celoti raziskan, vendar rezultate, ki so bili doseženi z uporabo običajnih miši kot primer precej impresivno. Znanstveniki so se tudi skušali prijaviti tehnika v zvezi z zdravimi in mladimi miši. Izkazalo se je, da “mladi” pod vplivom NAD-a so postali izredno energični in neverjetno aktiven. Mogoče je, da bo tehnika ne veljajo samo za stare in bolne ljudi, ampak primeren tudi za tiste, katerih življenje je tesno povezano s težko fizično delo. “Naše najpomembnejše odkritje je bilo dejstvo, da Element HIF-1, odgovoren za razvoj številnih oblik raka, se začne razvijati tudi v telo med staranjem, “pravi eden od znanstvenikov. – Zdaj zagotovo vemo, da je fiziologija raka v nekem smislu podobno fiziologiji staranja. To pojasnjuje, da je eden od največji dejavniki tveganja za raka Je starost. “Trenutno raziskovalci skrbno opazujejo za eksperimentalne miši, ki so bile podvržene postopku pomlajevanja. Konec koncev je zelo pomembno, da tehnika ne daje okvar in ne je pokazal resne stranske učinke. Če z mišmi, bo vse v Danes znanstveniki načrtujejo začetek kliničnih preskušanj na ljudje že konec leta 2014. Na osnovi gizmag.com
Življenje
