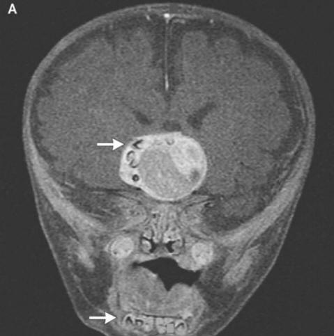
Kirurgi iz ameriške zvezne države Maryland so ga morali preživeti najtežjih operacij v svoji praksi. Štirimesečni starši fantje so sprožili alarm in po njem odšli k zdravnikom opazili, da glava njihovega otroka prehitro raste. Zdravniki opravili pregled in ugotovili, da je zob zrasel v bolnikovih možganih.
Fotografija iz odprtih virov Kot so razlagali kirurgi prestrašenim staršem in onkologi so bili to posledica nastanka redkega prirojenega tumorjev – kraniofariniomov, piše New England Journal of Medicine. Ta neoplazma v veliki večini primerov benigna pa lahko zraste do velikosti kroglice za golf in povzroča zmanjšanje vonja, poslabšanje sluha in vida ter povečuje tudi intrakranialni tlak. Raziskovalci vedno sumili, da se ti tumorji, ki se pojavijo pri otroku že prej nosečnost, ki nastane iz istih celic kot zob, saj so zaznali velike kopičenja kalcija, vendar pravi oblikovan zob, preden tega primera ne najdejo obračunano.
Kirurgi so fotografijo uspešno odstranili iz odprtih virov. Tumor oz. fant, so rekli, gre dobro. Vendar zob, ki odraščal v njegovi hipofizi, vendar je motil zlasti možgane, pravilna proizvodnja hormonov – bolnik jih bo moral vzeti prej konec življenja. Ta primer lahko upravičeno prevzame svoje mesto seznam najčudnejših operacij, ki jih opravijo onkologi. Medtem pa v mladenič iz Irana, ki je moral zdravite poraščene oči. Skoraj se je pojavil čuden tumor v očesu takoj po rojstvu, vendar se je pri 19 letih znatno povečala v velikosti (do 0,6 cm) in poleg tega preprečili zapiranje vek strogi lasje so začeli rasti. Zdravniki so tumor odstranili in to ugotovili gre za limbalni dermoid – navadno izjemno redko benigna vzgoja. Po mnenju zdravnikov bi v tem primeru dr. če bi mladenič še naprej vlekel z zdravili, je njegova oteklina ni mogel samo rasti las, ampak tudi začeti znojiti: sčasoma na novotvorbah se pogosto pojavijo ustrezne žleze.
Čas
